News Information

2026年3月,一位澳门女士因复杂肝恶性肿瘤,专程来到重庆海扶医院寻求治疗转机。
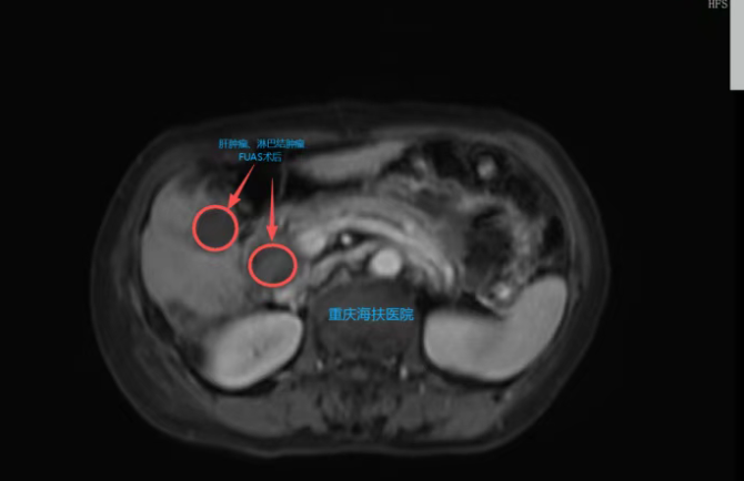
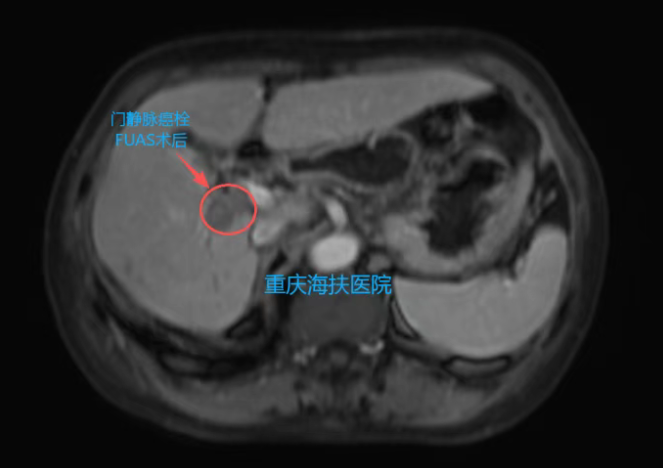
患者3个多月前体检发现肝脏占位,在澳门检查提示AFP升高,穿刺病理为分化不良癌,伴局灶性神经内分泌分化。随后在广东医院检查发现:肝脏S5段恶性肿瘤约4.0cm×3.1cm×5.0cm,同时伴门静脉癌栓及肝门区淋巴结转移。患者曾接受肝动脉化疗栓塞术并口服靶向药,症状有所缓解,但多处病灶仍未得到根治。
门静脉癌栓是肝癌治疗的公认难点,常规手段难以彻底处理。在多方了解后,患者选择接受聚焦超声消融手术(FUAS)。

3月2日,张炼教授团队为患者实施全麻下聚焦超声消融治疗。一次性消融肝门淋巴结、肝脏病灶病变、门静脉癌栓,手术过程顺利。术后患者清醒,生命体征平稳,皮肤完好、无创口。
术后第1天,患者已进流食,无明显疼痛,仅轻微腹胀,复查指标整体平稳。复查MRI显示:消融区域肿瘤坏死明显,“黑洞”征清晰,提示病灶已被灭活。



此次治疗不仅灭活了肝内原发肿瘤,更成功处理了门静脉癌栓及转移淋巴结,充分体现了聚焦超声消融无创、精准、可一次性处理多处病灶的独特优势。

澳门患者出院前和工作人员合影,点赞重庆海扶医院的技术和服务

工作人员为患者送上暖心礼物