重庆两江新区人和青松路1号
logo
超声医疗国家工程研究中心附属医院
重庆市子宫良性疾病及外阴疾病微无创治疗研究中心
超声医学工程国家重点实验室临床应用基地
两江新区科普基地
重庆海扶医院公众号
重庆海扶医院公众号
手机线上门诊预约
手机线上门诊预约
logo
搜索

新闻资讯

News Information

典型案例 | 子宫腹壁内异症的聚焦超声消融手术治疗

医院动态

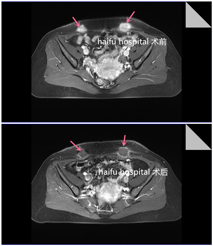
颜女士(化名)剖宫产瘢痕左右侧有两个包块,诊断为腹壁子宫内膜异位症,随着时间推移,包块逐渐增大,并且周期性疼痛进行性加重,检查显示左侧包块约3.0cm*2.0cm,右侧约2.4cm*1.4cm,拒绝手术切除,她选择到重庆海扶医院进一步治疗。

 

 

023-67886660

在线咨询

返回顶部

//